謝耀元試管嬰兒中心
國民健康署評鑑通過,榮獲優良試管嬰兒中心,提供專業不孕症治療與諮詢服務, 地址:台中市台中路12號,TEL:(04)22201666 網址: www.twivf.com.tw
網頁
首頁
本院網站
成功案例
本院簡介
論文發表
本院FB
本院YouTube
2011年8月21日
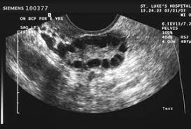
基礎濾泡
基礎濾泡(AF, antral follicle):
月經前5天以陰道超音波檢測‧
AF大小: 2-5mm
AF與懷孕率關連性
AF<4: 懷孕率極差
AF5-10: 懷孕率差
AF10-20:懷孕率普通
AF>20:懷孕率好
沒有留言:
張貼留言
較新的文章
較舊的文章
首頁
訂閱:
張貼留言 (Atom)
沒有留言:
張貼留言